Điều Trị Viêm Nha Chu: Giải Cứu Răng Lung Lay Trước Khi Quá Muộn! Quy Trình & Chi Phí
Điều trị viêm nha chu (Periodontitis) là một loạt các can thiệp nha khoa chuyên sâu nhằm ngăn chặn quá trình phá hủy mô nâng đỡ răng (nướu, dây chằng, xương ổ răng) do nhiễm trùng vi khuẩn mạn tính. Mục tiêu của điều trị là loại bỏ hoàn toàn vi khuẩn và vôi răng nằm sâu dưới nướu, kiểm soát tình trạng viêm, ngăn chặn bệnh tiến triển và cố gắng bảo tồn những chiếc răng còn lại.
Với kinh nghiệm của một bác sĩ nha khoa, người đã phải trăn trở trước những trường hợp mất răng hàng loạt hoàn toàn có thể phòng tránh được, tôi viết bài này với một sự cấp bách. Đây không chỉ là một bài cung cấp kiến thức, mà là một lời cảnh tỉnh, một lời kêu gọi hành động. Tôi muốn trang bị cho bạn những “vũ khí” kiến thức mạnh mẽ nhất để bạn nhận diện, đối mặt và chiến thắng “kẻ giết người thầm lặng” này. Chúng ta sẽ cùng nhau đi sâu vào bản chất của căn bệnh, hiểu rõ tại sao nó lại nguy hiểm đến vậy và quan trọng nhất là có những giải pháp nào để cứu vãn tình thế.
Trong bài viết mang tính chuyên sâu này, chúng ta sẽ cùng nhau giải đáp:
Thời gian không chờ đợi ai, đặc biệt là trong cuộc chiến với bệnh nha chu. Hãy bắt đầu hành trình giải cứu nụ cười của bạn ngay bây giờ!
Viêm nha chu là gì và mức độ nguy hiểm của nó như thế nào?
“Nha chu” là một thuật ngữ y khoa dùng để chỉ toàn bộ các cấu trúc xung quanh và nâng đỡ cho răng, bao gồm: nướu, xương ổ răng, dây chằng nha chu và cement chân răng. Khi bạn nghe đến “viêm nha chu”, điều đó có nghĩa là toàn bộ hệ thống nền móng này đang bị tấn công và phá hủy.

Viêm nha chu tiến triển từ viêm nướu như thế nào?
Quá trình này diễn ra theo một kịch bản đáng sợ:
Những yếu tố nào làm tăng nguy cơ mắc bệnh viêm nha chu?
Mặc dù mảng bám vi khuẩn là nguyên nhân chính, nhưng có một số yếu tố “đồng phạm” làm cho bệnh trở nên trầm trọng và khó kiểm soát hơn:
- Hút thuốc lá: Đây là yếu tố nguy cơ lớn nhất. Hút thuốc làm giảm khả năng miễn dịch của nướu và che giấu các dấu hiệu ban đầu (như chảy máu), khiến bệnh tiến triển âm thầm.
- Bệnh tiểu đường: Mối quan hệ hai chiều. Bệnh tiểu đường làm tăng nguy cơ và mức độ nặng của viêm nha chu, và ngược lại, viêm nha chu làm cho việc kiểm soát đường huyết khó khăn hơn.
- Thay đổi nội tiết tố: Ở phụ nữ mang thai, tuổi dậy thì hoặc mãn kinh.
- Di truyền: Một số người có khuynh hướng di truyền dễ mắc bệnh nha chu hơn.
- Stress: Căng thẳng kéo dài làm suy yếu hệ miễn dịch của cơ thể.
- Một số loại thuốc: Thuốc chống co giật, thuốc ức chế miễn dịch… có thể gây phì đại nướu.

So sánh trực quan giữa Nướu khỏe mạnh, Viêm nướu và Viêm nha chu?
Đây là một sự khác biệt cực kỳ quan trọng mà mọi người cần phải hiểu rõ. Viêm nướu là “báo động vàng”, còn viêm nha chu đã là “báo động đỏ”.

| Đặc điểm | Nướu khỏe mạnh | Viêm nướu (Gingivitis) | Viêm nha chu (Periodontitis) |
|---|---|---|---|
| Màu sắc | Hồng nhạt | Đỏ tươi hoặc đỏ sẫm | Đỏ sẫm, tím tái |
| Tình trạng | Săn chắc, ôm sát răng | Sưng phồng, mềm | Sưng to, bở, dễ chảy mủ |
| Chảy máu | Không | Dễ chảy máu khi chải răng | Chảy máu tự phát hoặc khi va chạm nhẹ |
| Túi nướu | 1-3 mm | Có thể sâu hơn 3mm nhưng chưa mất bám dính | Sâu > 4-5 mm, có mất bám dính |
| Xương ổ răng | Nguyên vẹn | Nguyên vẹn | Bị tiêu hủy, mất xương |
| Răng lung láy | Không | Không | Có |
Các dấu hiệu cảnh báo của bệnh viêm nha chu là gì?
Nếu viêm nướu chỉ là những “tiếng thì thầm”, thì viêm nha chu là những “tiếng gào thét” của cơ thể bạn. Đừng bao giờ phớt lờ những dấu hiệu này, vì chúng cho thấy nền móng răng của bạn đang sụp đổ.
Tụt nướu, lộ chân răng
Bạn soi gương và thấy răng mình có vẻ “dài ra” một cách bất thường. Thực chất răng không dài ra, mà là nướu và xương bên dưới đã bị tiêu đi, làm lộ ra phần chân răng vốn được che phủ. Chân răng không có lớp men bảo vệ nên sẽ rất nhạy cảm và ê buốt khi ăn uống đồ nóng, lạnh.
Có mủ ở khe nướu
Đây là dấu hiệu của một ổ nhiễm trùng đang hoạt động. Khi bạn dùng ngón tay ấn nhẹ vào phần nướu bị sưng, bạn có thể thấy một dịch màu trắng hoặc vàng (mủ) chảy ra từ khe giữa nướu và răng. Điều này cũng gây ra vị khó chịu trong miệng.
Răng lung lay hoặc di chuyển
Đây là triệu chứng đáng báo động nhất. Khi xương ổ răng – nền móng giữ cho răng vững chắc – bị tiêu đi quá nhiều, răng sẽ mất đi sự nâng đỡ và bắt đầu lung lay. Ban đầu bạn có thể chỉ cảm nhận được khi dùng lưỡi đẩy, nhưng dần dần độ lung lay sẽ tăng lên. Bạn cũng có thể thấy các răng cửa bắt đầu chìa ra hoặc xuất hiện các khe thưa mới mà trước đây không có.
Áp-xe nha chu
Đôi khi, đường thoát của mủ bị tắc, tạo thành một túi mủ sưng to, đau nhức dữ dội ở nướu, gọi là áp-xe nha chu. Đây là một tình trạng cấp tính cần được can thiệp ngay lập tức.
Hôi miệng nghiêm trọng và dai dẳng
Thay đổi khớp cắn
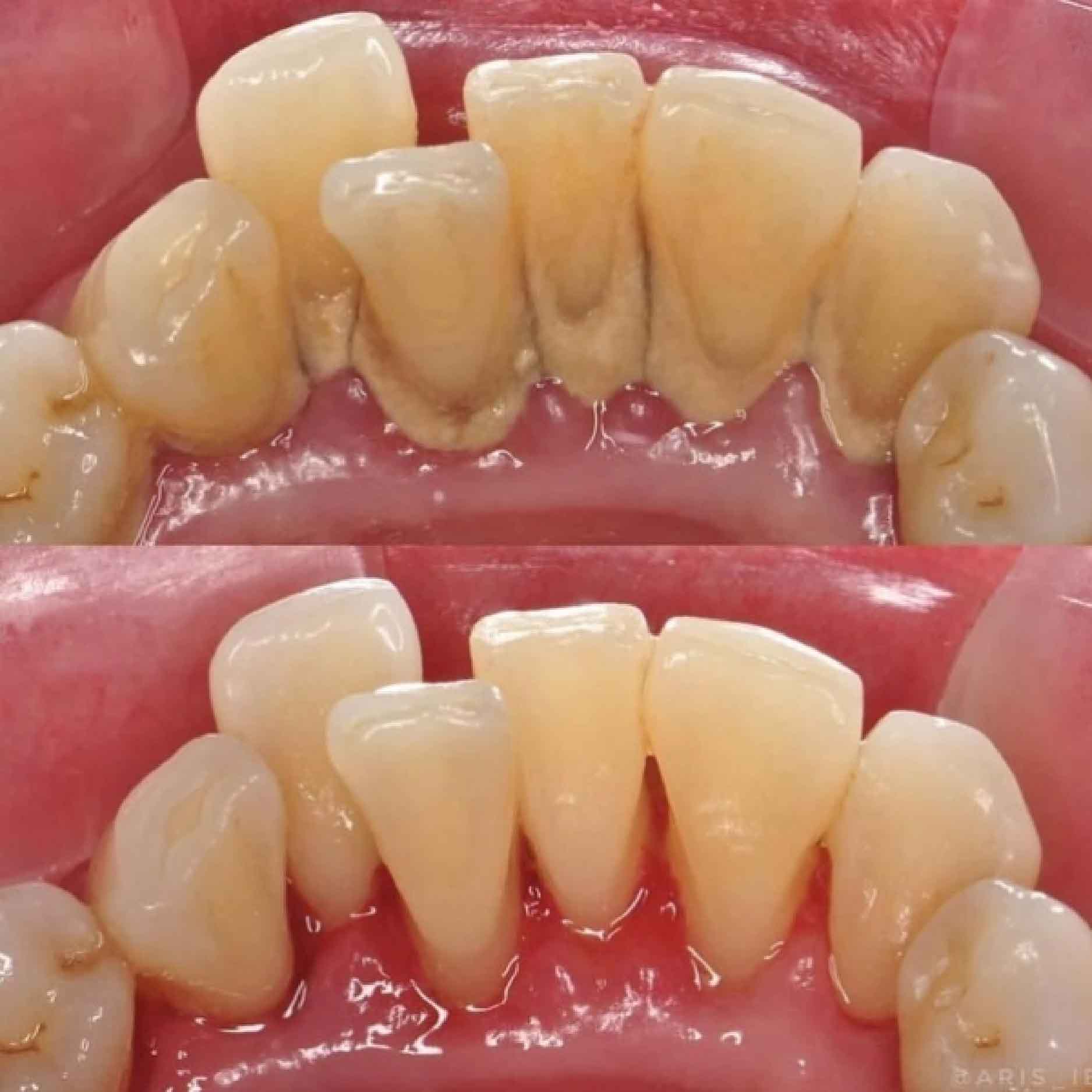
Quy trình điều trị viêm nha chu chuyên sâu gồm những bước nào?
Điều trị viêm nha chu không phải là một thủ thuật đơn lẻ mà là cả một quá trình, đòi hỏi sự hợp tác chặt chẽ giữa bác sĩ và bệnh nhân. Mục tiêu không phải là “chữa khỏi” hoàn toàn (vì xương đã mất không thể mọc lại), mà là ngăn chặn sự tiến triển của bệnh, kiểm soát nhiễm trùng và duy trì sức khỏe của những mô nha chu còn lại.
- Hướng dẫn vệ sinh răng miệng: Bác sĩ sẽ dành thời gian hướng dẫn bạn chi tiết cách chải răng và sử dụng các dụng cụ làm sạch kẽ răng (chỉ nha khoa, bàn chải kẽ) một cách hiệu quả nhất. Sự hợp tác của bạn ở nhà là yếu tố quyết định.
- Cạo vôi răng và xử lý mặt gốc răng (Scaling and Root Planing – SRP): Đây là một thủ thuật “cạo vôi răng chuyên sâu”
- Cạo vôi răng (Scaling): Loại bỏ toàn bộ mảng bám và vôi răng ở cả trên và sâu dưới đường viền nướu.
- Xử lý mặt gốc răng (Root Planing): Làm nhẵn mịn bề mặt chân răng đã bị vôi răng làm cho thô nhám. Một bề mặt chân răng nhẵn mịn sẽ giúp nướu lành thương và bám dính trở lại tốt hơn, đồng thời khó cho vi khuẩn mới tích tụ.
- Nếu kết quả tốt: Các túi nướu nông lại, nướu hết sưng viêm. Bạn sẽ được chuyển sang Giai đoạn 4 (Duy trì).
- Nếu kết quả chưa tốt: Vẫn còn các túi nha chu sâu (thường > 5mm) ở một vài vị trí. Bạn có thể cần phải tiếp tục với Giai đoạn 4 (Phẫu thuật).
- Phẫu thuật lật vạt làm sạch: Bác sĩ rạch và lật vạt nướu lên để bộc lộ rõ chân răng và xương bên dưới, từ đó làm sạch hoàn toàn vôi răng và mô viêm. Sau đó vạt nướu được khâu lại ở vị trí cũ.
- Phẫu thuật tái tạo mô (Ghép xương, ghép màng): Trong một số trường hợp, bác sĩ có thể đặt vật liệu ghép xương và màng sinh học vào vùng xương bị tiêu hủy để khuyến khích cơ thể tái tạo lại một phần xương và dây chằng đã mất.
- Bạn cần phải tái khám định kỳ mỗi 3-4 tháng/lần (thay vì 6 tháng như người bình thường).
- Trong mỗi lần tái khám, bác sĩ sẽ kiểm tra, đo lại túi nướu và tiến hành cạo vôi răng, làm sạch chuyên nghiệp để giữ cho bệnh luôn trong tầm kiểm soát.
Chi phí điều trị viêm nha chu hết bao nhiêu tiền?
Chi phí điều trị viêm nha chu là một khoản đầu tư trực tiếp để giữ lại những chiếc răng thật của bạn. Mặc dù có thể tốn kém, nhưng nó vẫn luôn rẻ hơn rất nhiều so với việc phải nhổ bỏ và phục hình lại bằng các giải pháp phức tạp sau này.
Chi phí điều trị viêm nha chu được tính như thế nào?
- Chi phí Giai đoạn không phẫu thuật (SRP)
- Đây là chi phí chính trong giai đoạn đầu.
- Nha khoa có thể tính giá theo từng răng, theo từng cung hàm (1/4 hàm), hoặc trọn gói cho toàn bộ miệng.
- Chi phí phụ thuộc vào độ sâu của túi nha chu và mức độ vôi răng dưới nướu. Một ca bệnh nặng sẽ cần nhiều thời gian và công sức hơn, do đó chi phí cao hơn.
- Chi phí Giai đoạn phẫu thuật (nếu có):
- Chi phí phẫu thuật nha chu được tính riêng, thường theo từng vùng (vài răng).
- Nếu có thực hiện ghép xương, ghép màng, chi phí vật liệu ghép sẽ được tính thêm. Đây là một khoản chi phí khá cao.
- Chi phí Giai đoạn duy trì: Đây là chi phí cho việc tái khám và cạo vôi răng định kỳ mỗi 3-4 tháng. Mức phí này tương đương với một lần cạo vôi răng thông thường.

Bảng giá tham khảo cho các dịch vụ điều trị viêm nha chu 2025?
Đây là mức giá tham khảo tại các nha khoa chuyên sâu. Chi phí cụ thể sẽ được xác định sau khi bác sĩ thăm khám và lên kế hoạch điều trị.
| Điều trị viêm nha chu độ 1 | 500.000 VNĐ | răng |
| Điều trị viêm nha chu độ 2 | 1.000.000 VNĐ | răng |
| Điều trị viêm nha chu độ 3 | 5.000.000 VNĐ | răng |
Làm thế nào để kiểm soát bệnh viêm nha chu và phòng ngừa tái phát?
Sau khi giai đoạn điều trị tích cực kết thúc, cuộc chiến của bạn với bệnh nha chu mới thực sự bước vào giai đoạn kiểm soát. Bạn phải chấp nhận rằng mình là người có cơ địa nhạy cảm với bệnh nha chu và cần một chế độ chăm sóc đặc biệt hơn người bình thường. Nhưng đừng lo, việc này hoàn toàn có thể thực hiện được.
Tại sao tái khám duy trì lại là yếu tố sống còn?
Đây là yếu tố quan trọng nhất. Dù bạn có vệ sinh tốt đến đâu, vẫn sẽ có những khu vực khó tiếp cận mà mảng bám bắt đầu tích tụ trở lại. Vi khuẩn gây bệnh nha chu rất cứng đầu.
Chế độ chăm sóc tại nhà cho bệnh nhân nha chu cần có gì đặc biệt?
- Chải răng đúng cách: Áp dụng kỹ thuật chải răng chuẩn như đã hướng dẫn, đặc biệt chú trọng vào đường viền nướu.
- Làm sạch kẽ răng là bắt buộc: Do đã có tụt nướu và tiêu xương, kẽ răng của bệnh nhân nha chu thường lớn hơn.
- Bàn chải kẽ (Interdental brush): Đây là công cụ hiệu quả hơn chỉ nha khoa trong trường hợp này. Hãy chọn kích cỡ bàn chải kẽ phù hợp cho từng kẽ răng.
- Máy tăm nước: Rất hữu ích để làm sạch sâu trong các túi nha chu và các khu vực khó tiếp cận.
- Sử dụng kem đánh răng và nước súc miệng chuyên dụng: Bác sĩ có thể khuyên bạn dùng các sản phẩm có chứa các hoạt chất giúp kiểm soát mảng bám và kháng khuẩn.
Kiểm soát các yếu tố nguy cơ khác
Đặt lịch thăm khám cùng Nha Khoa Fami
Đội ngũ CSKH của Nha Khoa Fami sẽ luôn hỗ trợ khách hàng 24/7

- Chỉ cần nhập thông tin, chúng tôi sẽ gọi lại ngay
- Nhanh chóng – Tiện lợi – Hoàn toàn bảo mật
- Nếu cần giải đáp, xin gọi 078 933 4848 hoặc 0926 33 4848
- Vui lòng đặt lịch trước để được phục vụ và chăm sóc tốt nhất
Liên Hệ Nha Khoa Fami
Nha Khoa Uy Tín HCM , chuyên nhổ răng khôn, bọc răng sứ, cạo vôi răng, tẩy trắng răng, niềng răng…