Trám Răng: Tất Cả Sự Thật Về Chi Phí, Độ Bền & Top 5 Vật Liệu Trám răng tốt nhất
Trám răng là một thủ thuật nha khoa sử dụng các vật liệu nhân tạo (như Composite, Amalgam, GIC…) để lấp đầy và phục hồi lại hình dáng, chức năng cho một chiếc răng bị tổn thương. Mục đích chính của việc trám răng là để điều trị sâu răng, ngăn chặn sự phát triển của vi khuẩn, khôi phục các răng bị sứt mẻ hoặc mòn, qua đó bảo tồn tối đa cấu trúc răng thật.
Với kinh nghiệm của một người bác sĩ, một người bạn đồng hành, tôi hiểu rằng đằng sau quyết định đi trám răng là vô vàn câu hỏi: “Trám răng có đau không?”, “Nên trám loại nào thì tốt?”, “Trám xong có bền không?”, “Giá cả thế nào?”. Bài viết siêu chi tiết này được ra đời để trở thành câu trả lời toàn diện nhất cho mọi thắc mắc của bạn. Chúng ta sẽ cùng nhau đi qua mọi ngóc ngách của chủ đề trám răng, từ việc giải mã các loại vật liệu hiện đại đến việc “mục sở thị” toàn bộ quy trình tại phòng khám.
Sau khi đọc xong bài viết này, bạn sẽ nhận được:
Hãy xem đây là một cuộc đầu tư nhỏ cho một nụ cười khỏe mạnh dài lâu. Bắt đầu hành trình tìm hiểu ngay thôi!
Trám răng chính xác là gì và cơ chế hoạt động như thế nào?
Hãy tưởng tượng chiếc răng của bạn giống như một bức tường bị một lỗ thủng nhỏ. Nếu để mặc, mưa gió (vi khuẩn, axit) sẽ len lỏi vào bên trong, làm hỏng cả bức tường. Trám răng cũng giống như việc một người thợ lành nghề (nha sĩ) sẽ đục bỏ hết phần vữa yếu xung quanh, làm sạch lỗ hổng và sau đó dùng một loại vật liệu chất lượng (vật liệu trám) để trét lại, làm cho bức tường trở nên vững chắc và đẹp đẽ như ban đầu.

Về mặt khoa học, quy trình này gồm 2 giai đoạn chính:
Sự khác biệt giữa trám răng và các phương pháp phục hình khác là gì?
Để hiểu rõ hơn, chúng ta hãy so sánh trám răng với các kỹ thuật phục hình phổ biến khác cho răng bị tổn thương:
| Tiêu chí | Trám răng (Filling) | Inlay/Onlay (Trám sứ) | Bọc răng sứ (Crown) |
|---|---|---|---|
| Chỉ định | Tổn thương nhỏ đến trung bình (sâu răng, mẻ nhỏ). | Tổn thương lớn nhưng cấu trúc răng còn lại vẫn đủ khỏe. | Tổn thương rất lớn, răng đã chữa tủy, cấu trúc răng yếu. |
| Cách thực hiện | Thực hiện trực tiếp trên miệng trong 1 lần hẹn. | Miếng trám được chế tác tại labo rồi mới gắn vào răng (2 lần hẹn). | Mài nhỏ toàn bộ thân răng và chụp mão sứ lên (2-3 lần hẹn). |
| Mức độ bảo tồn | Bảo tồn tối đa mô răng thật. | Bảo tồn tốt, chỉ loại bỏ phần răng hư. | Xâm lấn nhiều, phải mài đi một lượng lớn mô răng. |
| Vật liệu | Composite, Amalgam, GIC… | Sứ cao cấp (Emax, Zirconia). | Sứ kim loại, toàn sứ. |
| Độ bền | 3 – 8 năm tùy vật liệu. | 10 – 20 năm. | 15 – 25 năm. |
| Chi phí | Thấp nhất. | Cao | Cao |
Khi nào bạn nên đi trám răng?
Chìa khóa để có một hàm răng khỏe mạnh chính là “phòng bệnh hơn chữa bệnh”, và trong trường hợp này, “trám răng sớm chính là cách phòng bệnh tốt nhất”. Đừng đợi đến khi răng đau nhức dữ dội mới tìm đến nha sĩ, vì lúc đó có thể đã quá muộn.

Trám răng có thể khắc phục được những vấn đề thẩm mỹ nào?
Ngoài việc điều trị sâu răng, trám răng, đặc biệt là trám bằng vật liệu Composite, còn là một công cụ “nghệ thuật” tuyệt vời để giải quyết các vấn đề thẩm mỹ một cách nhanh chóng và ít tốn kém:
Quy trình trám răng chuẩn y khoa diễn ra như thế nào?
Nhiều người thường hình dung việc trám răng là một quá trình đáng sợ với tiếng khoan rợn người. Nhưng thực tế, với kỹ thuật và thuốc tê hiện đại, đây là một trong những thủ thuật nha khoa nhẹ nhàng và thoải mái nhất. Hãy cùng tôi đi qua từng bước để bạn thấy nó đơn giản đến nhường nào.
Các loại vật liệu trám răng nào phổ biến nhất hiện nay?
Việc lựa chọn vật liệu trám nào phụ thuộc vào vị trí của răng, mức độ tổn thương, yêu cầu thẩm mỹ và ngân sách của bạn. Mỗi loại đều có những “điểm mạnh” và “điểm yếu” riêng. Là một người bác sĩ, tôi sẽ phân tích rõ ràng để bạn có thể đưa ra lựa chọn phù hợp nhất.

Trám răng Composite – Lựa chọn số 1 về thẩm mỹ?
- Bản chất: Là một loại nhựa tổng hợp, có thành phần chính là các hạt độn (filler) thủy tinh, sứ, hoặc silica được trộn trong một nền nhựa (resin matrix).
- Ưu điểm:
- Thẩm mỹ tuyệt vời: Composite có nhiều tông màu khác nhau, cho phép bác sĩ lựa chọn màu sắc y hệt với răng thật của bạn. Miếng trám gần như không thể bị phát hiện.
- Quy trình nhanh: Đông cứng ngay lập tức dưới ánh sáng đèn, bạn có thể ăn nhai bình thường ngay sau khi trám.
- Nhược điểm:
- Dễ bị nhiễm màu: Nếu bạn thường xuyên sử dụng cà phê, trà, thuốc lá, miếng trám Composite có thể bị ố vàng theo thời gian.
- Nhạy cảm với kỹ thuật: Đòi hỏi quy trình trám phải hoàn toàn khô ráo và tay nghề bác sĩ phải tốt để đảm bảo độ bền
Trám răng Amalgam (trám bạc) – Lựa chọn bền bỉ nhưng gây tranh cãi?
- Bản chất: Là một hợp kim của bạc, thiếc, đồng và kẽm được trộn với thủy ngân (chiếm khoảng 50%).
- Ưu điểm:
- Siêu bền: Rất cứng, chịu mài mòn tốt, đặc biệt phù hợp cho các lỗ sâu lớn ở răng hàm. Tuổi thọ có thể lên đến 10-15 năm hoặc hơn.
- Chi phí thấp: Thường là lựa chọn có chi phí thấp nhất.
- Dễ thực hiện: Ít nhạy cảm với môi trường ẩm hơn Composite.
- Nhược điểm:
- Thẩm mỹ rất kém: Có màu bạc sẫm, tương phản hoàn toàn với màu răng.
- Vấn đề tranh cãi về thủy ngân: Mặc dù các tổ chức y tế lớn như ADA (Hiệp hội Nha khoa Hoa Kỳ) và FDA (Cục quản lý Thực phẩm và Dược phẩm Hoa Kỳ) đã khẳng định Amalgam là an toàn, nhưng vẫn còn những lo ngại về sự an toàn của thủy ngân. FDA tuyên bố rằng các nghiên cứu khoa học không tìm thấy mối liên hệ giữa việc sử dụng Amalgam và các vấn đề sức khỏe.
- Xâm lấn hơn: Đòi hỏi phải tạo hình xoang trám có tính lưu giữ cơ học, đôi khi phải lấy đi cả mô răng lành.


Trám răng GIC (Glass Ionomer Cement) thường dùng cho trường hợp nào?
- Bản chất: Là một loại xi măng nha khoa có khả năng tự dán vào răng và đặc biệt là có thể giải phóng Fluoride.
- Ưu điểm:
- Giải phóng Fluoride: Có khả năng phóng thích Fluor, giúp ngăn ngừa sâu răng tái phát. Đây là ưu điểm lớn nhất.
- Dán dính tốt vào ngà răng: Đặc biệt hiệu quả khi trám ở vùng cổ răng.
- Nhược điểm:
- Độ bền và chịu mài mòn kém: Không đủ cứng để trám ở các vị trí chịu lực nhai lớn.
- Thẩm mỹ không cao bằng Composite.
- Chỉ định:
- Trám răng cho trẻ em (răng sữa).
- Sử dụng như một lớp lót bên dưới miếng trám Composite.
- Trám các xoang sâu ở cổ răng (không chịu lực nhai).
Chi phí trám răng hết bao nhiêu tiền?
So với các dịch vụ nha khoa khác, trám răng là một trong những giải pháp có chi phí phải chăng nhất, giúp bạn ngăn chặn các vấn đề lớn hơn với một khoản đầu tư rất nhỏ ban đầu. Hiểu rõ các yếu tố cấu thành giá sẽ giúp bạn có sự chuẩn bị tốt nhất.
| DỊCH VỤ | ĐƠN GIÁ | ĐƠN VỊ |
|---|---|---|
| Trám răng sữa | 200.000 VNĐ | răng |
| Trám xoang 1 | 400.000 VNĐ | xoang |
| Trám xoang 2,3,4,5 | 600.000 VNĐ | xoang |
| Trám răng thẩm mỹ , trám kẽ răng | 1.000.000 VNĐ | xoang |
| Trám bảo tồn tủy loại 1 | 600.000 VNĐ | xoang |
| Trám bảo tồn tủy loại 2 | 1.000.000 – 1.500.000 VNĐ | xoang |
Chăm sóc răng sau khi trám để bền lâu cần lưu ý gì?
Một miếng trám, dù tốt đến đâu, cũng không thể bền bằng men răng tự nhiên. Tuổi thọ của nó phụ thuộc rất nhiều vào cách bạn “đối xử” với nó hàng ngày. Coi miếng trám như một phần của răng và chăm sóc nó cẩn thận sẽ giúp bạn kéo dài thời gian sử dụng và tránh phải đi trám lại nhiều lần.
Những điều cần làm ngay sau khi trám răng?
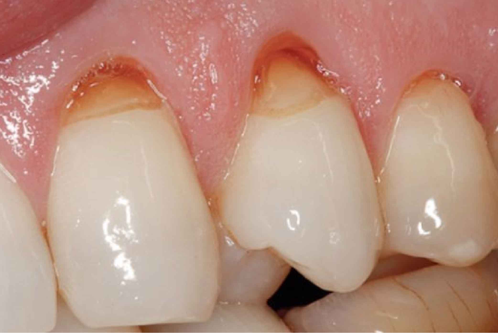
Làm thế nào để giữ cho miếng trám không bị sút, mẻ hoặc đổi màu?
Các vấn đề thường gặp sau khi trám răng và cách xử lý?
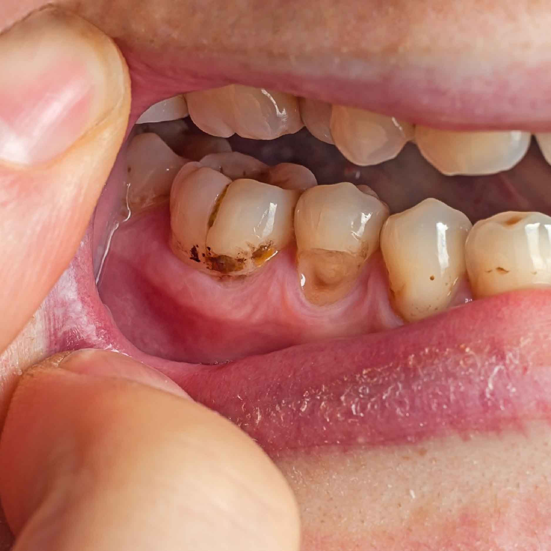
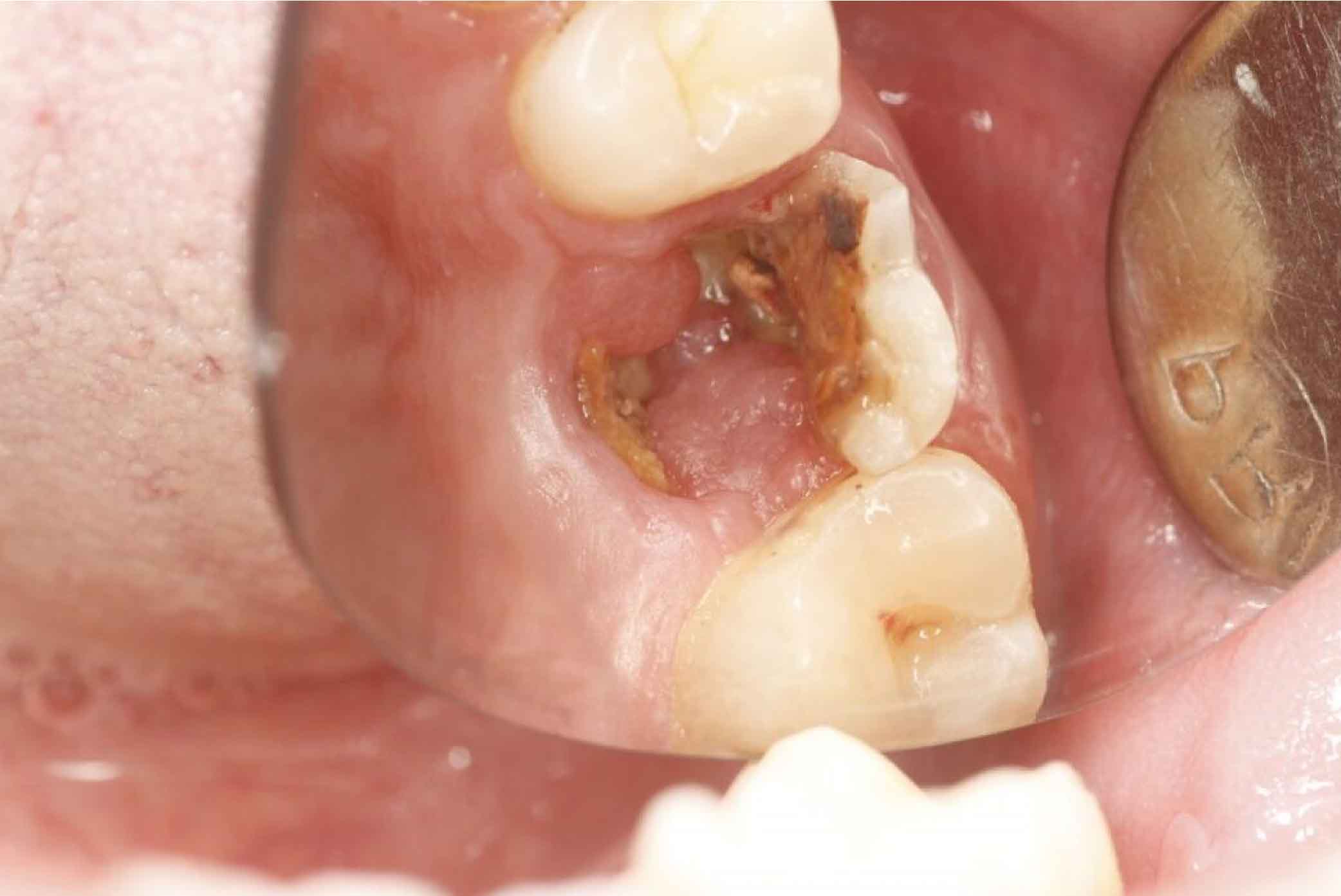
Mặc dù là một thủ thuật an toàn, đôi khi bạn vẫn có thể gặp phải một vài vấn đề không mong muốn sau khi trám răng. Hiểu rõ nguyên nhân và cách xử lý sẽ giúp bạn bớt lo lắng và có hướng giải quyết đúng đắn.
Đặt lịch thăm khám cùng Nha Khoa Fami
Đội ngũ CSKH của Nha Khoa Fami sẽ luôn hỗ trợ khách hàng 24/7

- Chỉ cần nhập thông tin, chúng tôi sẽ gọi lại ngay
- Nhanh chóng – Tiện lợi – Hoàn toàn bảo mật
- Nếu cần giải đáp, xin gọi 078 933 4848 hoặc 0926 33 4848
- Vui lòng đặt lịch trước để được phục vụ và chăm sóc tốt nhất
Liên Hệ Nha Khoa Fami
Nha Khoa Uy Tín HCM , chuyên nhổ răng khôn, bọc răng sứ, cạo vôi răng, tẩy trắng răng, niềng răng…